Eyelid Surgery Before & After Photos - Patient Case #21

Blepharoplasty (Eyelid Surgery) Photos - Case #21

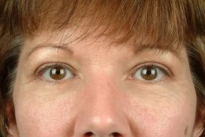
4 months After

Demographics

Age : 51
Surgeon : Ben Hugo MD
Procedure : Upper Eyelid Tuck (blepharoplasty)

Before
Blepharoplasty (Eyelid Surgery)
After
Blepharoplasty (Eyelid Surgery)